![]() |
![]() |
![]() |
![]() |
|
Existen dos opciones de prueba de ADN de Paternidad: INFORMATIVA y LEGAL. Para la modalidad INFORMATIVA:
Para la modalidad LEGAL, comuniquese con nosotros para más información. |
Toma de muestras a domicilio. Acudimos a su domicilio. Pregunte por costo según ubicación. Requiere cita previa a confirmar.
Modalidad Kits de toma de muestra. Consiste en entrega/envío de kits para que usted tome las muestras. Incluye instrucción y materiales necesarios para tomar y preservar la muestra de exudado bucal. |
|
|
|



DIMYGeN Laboratorio es una institución especializada en análisis de ADN que desde el año 2005 puso a disposición de la sociedad del Sursureste de México, servicios de diagnóstico genético y molecular que incluye enfermedades hereditarias ocasionadas por alteraciones genéticas, detección molecular de agentes infecciosos, factores de riesgo, pronósticos genéticos, detección de portadores, cariotipos, confirmación de parentesco biológico, huella génica, secuenciación, farmacogenómica y nutrigenética.
DIMYGeN Laboratorio cuenta con personal y asesores científicos altamente capacitados, miembros del Sistema Nacional de Investigadores (SNI), registrados en el Consejo Nacional de Ciencia y Tecnología (CONACYT), Peritos en Ciencia en las especialidades de Genética y Ambiente ante el Poder Judicial. DIMYGeN Laboratorio tiene el respaldo de científicos dedicados a la investigación en Genética y Biomedicina Molecular, que avalan el estricto control de calidad y confiabilidad para ofrecer un diagnóstico de certeza.
DIMYGeN Laboratorio ha establecido mecanismos de colaboración con instancias de asistencia social como los Centros de Rehabilitación Infantil TELETÓN en Mérida, Cancún y Chetumal, hospitales de salud pública y Juzgados del Poder Judicial de los Estados de Yucatán, Campeche y Quintana Roo e incluso con organizaciones no gubernamentales de defensa de los derechos humanos.
MISIÓN
Satisfacer las necesidades en estudios de ADN a la población de la región, mediante la aplicación de pruebas de laboratorio especializadas en análisis molecular para diagnosticar enfermedades, determinar factores de riesgo y perfiles genéticos de ADN, que redunden en un adecuado consejo genético, pronóstico, tratamiento y en la identificación de personas.
VISIÓN
Ser un laboratorio especializado en estudios de ADN, acorde con los estándares internacionales de calidad, con tecnología de vanguardia y personal calificado que brinde un servicio de excelencia a la sociedad de la región.
VALORES
- Confidencialidad
- Humanitarismo
- Responsabilidad
- Servicio de calidad
POLÍTICA DE CALIDAD
DIMYGEN brinda servicios de calidad en el ámbito de análisis de ADN, promueve la mejora continua, emplea tecnología de vanguardia y personal calificado, procura el bien común y satisface las necesidades del usuario.
¡CONOCE LOS SERVICIOS QUE OFRECEMOS!
ENFERMEDADES GENÉTICAS
|
ESTUDIO DE IDENTIFICACIÓN DE INDIVIDUOS Y DETERMINACIÓN DE PARENTESCO
ESTUDIO DE FARMACOGENÓMICA Y FARMACOGENÉTICA
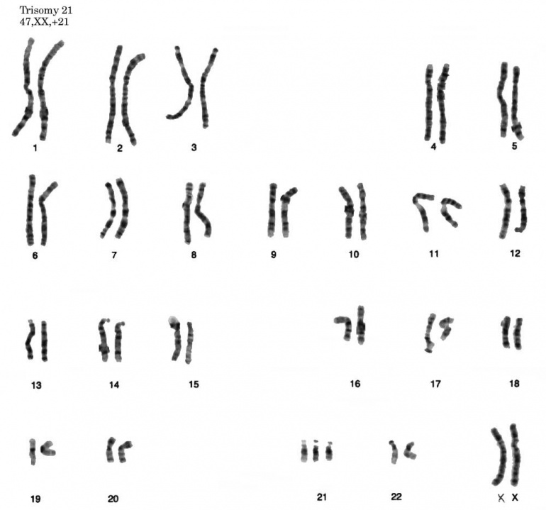
ESTUDIOS CITOGENÉTICOS
FACTORES DE RIESGO
APOYO PARA IDENTIFICACIÓN GENÉTICA DE LAS ESPECIESEstudio de secuenciación (Cotice según orden médica).Exoma Completo (Cotice según orden médica).
Si Usted requiere de otro estudio que no esté aquí listado, sólo tiene que solicitarlo y con todo gusto se le proporciona el precio adecuado. Nos ponemos a su disposición para cualquier información adicional que requiera. |
PRENATALESMyPrenatal (DNA Fetal): Estudio de cribado en Sangre materna no invasivo a partir de la semana 10 de embarazo. Detecta trisomías fetales de los cromosomas 13 (Síndrome de Patau), 18 (Síndrome de Edwards) y 21 (Síndrome de Down), en sangre anomalías sexuales. Síndromes de microdeleción: 1p36, 1q32-q41 (Van der Woude), 2q33.1, 5p (Cri-du-chat), 10p14-p13 (DiGeorge 2), 11q (Jacobsen) y 16p12.2-p11.2 Determinación de sexo fetal. Aplica para embarazo único. Para embarazos gemelares solo detecta trisomías fetales de los cromosomas 13, 18 y 21. Determinación de la presencia cromosomas Y. Toma de muestra en sangre periférica materna en tubo especial, solicitar cita para coordinar disponibilidad del tubo.
|
. . MyPrenatal Genome Screen (DNA Fetal): Estudio de cribado en Sangre materna no invasivo a partir de la semana 10 de embarazo. Detecta deleciones y duplicaciones >7Mb (CNVs). Aneuploidías en todos los cromosomas. Las alteraciones en todos los cromosomas, en caso de embarazo gemelar y el análisis de las CNVs se limita a los cromosomas autosómicos (no sexuales). Las CNVs (Copy Number Variants) de más de 7Mb están generalmente relacionadas con anomalías fetales y retraso en el desarrollo. Toma de muestra en sangre periférica materna en tubo especial, solicitar cita para coordinar disponibilidad del tubo. |
|
myNewborn Facilita el cribado temprano de enfermedades genéticas que aparecen durante las primeras etapas de la vida, aportando información clave para un manejo preventivo, dietético o tratamiento precoz, permitiendo actuar desde el primer momento. Este estudio complementa a la prueba del talón convencional, mejorando la utilidad clínica.La prueba está indicada para recién nacidos y niños en los primeros años de vida que no presenten síntomas de enfermedad de origen genético. Se realiza en sangre. La prueba realiza la secuenciación del exoma completo y posterior análisis de más de 400 genes relacionados con más de 390 enfermedades metabólicas y genéticas de aparición durante la primera infancia. Las enfermedades se clasifican en diferentes grupos incluyendo:
|
PregnancyLossPrueba avanzada que permite determinar si existe una causa genética subyacente en casos en los que se haya producido una interrupción espontánea del desarrollo fetal, sacos embrionarios, falta de latido fetal o aborto en evolución. Puede realizarse a partir de la semana 5 de gestación aportando información clave para el asesoramiento genético reproductivo, ya que permite conocer el riesgo de presentar la misma alteración en futuras gestaciones. Estudia alteraciones cromosómicas fetales que pueden causar la interrupción del embarazo: -Deleciones y duplicaciones mayores de 7Mb en cromosomas autosómicos que afectan a parte de un cromosoma, incluyendo translocaciones no balanceadas. -Aneuploidias en todos los cromosomas, estas alteraciones afectan al número total de cromsomas fetales. Se realiza a partir de sangre materna por tecnología NGS no tiene riesgo de contaminación materna, en tubo especial. La prueba debe realizarse lo antes posible una vez confirmada la interrupción del embarazo, siempre antes de la realización del legrado. Solicitar cita para coordinar disponibilidad del tubo. |


ESPECIALIDADES
DIMYGeN Laboratorio tiene alianzas con otras instituciones nacionales e internacionales que le permite ofrecer una gran variedad de estudios para el diagnóstico genómico de más de 1,300 enfermedades a las que se enfrentan diversas especialidades de la medicina como:
- Cardiología (Ver lista de estudios)
- Oncología (Ver lista de estudios)
- Ginecología (Ver lista de estudios)
- Neurología (Ver lista de estudios)
- Neumología (Ver lista de estudios)
- Hematología (Ver lista de estudios)
- Dermatología (Ver lista de estudios)
- Reumatología (Ver lista de estudios)
- Oftalmología (Ver lista de estudios)
- Endocrinología (Ver lista de estudios)
- Inmunología (Ver lista de estudios)
- Gastroenterología (Ver lista de estudios)
- Traumatología (Ver lista de estudios)
- Otorrinolaringología (Ver lista de estudios)
- Nefrología (Ver lista de estudios)
- Entre otras...

Si Usted requiere de otro estudio que no esté aquí listado, sólo tiene que solicitarlo y con todo gusto se le proporciona el precio adecuado. Nos ponemos a su disposición para cualquier información adicional que requiera.
¿CÓMO LLEGAR A DIMYGEN EN TRANSPORTE PÚBLICO?
- Desde el centro de la ciudad de Mérida subir al autobús "Va y ven" de la Ruta 85 Issste Pensiones - IMSS "La Ceiba"- Residencial Pensiones, cuyo paradero se localiza en la calle 61 x 54 y 56, frente al Hotel Nacional. Deberá descender en el paradero ubicado en la calle 13-1 x 76 del Fracc. Residencial Pensiones VI etapa.
- Ruta alternativa es del autobús "Va y ven" Circuito Metropolitano, teniendo que descender en el paradero ubicado en la Av. Mérida 2000 x 43-B del Fracc. Residencial Pensiones VI etapa, como referencia caminar hacía la tienda "DUNOSUSA", se encuentra enfrente de esta esquina Av.128 y calle 78.
TOMA DE MUESTRAS
Laboramos de lunes a viernes de 9:00 a 17:00 horas.
El horario de las citas van de 9:00 a 16:30 horas.
Sábado, domingo y días festivos sólo previa cita.
DATOS PARA PAGO
Depósito a cuenta Banamex sucursal 7124 Cuenta No. 0005101 a nombre de Dimygen Laboratorio SCP. CLABE Interbancaria 002910712400051019
Se requiere cubrir el 50% del costo del estudio a la entrega de la muestra y el resto a la entrega de resultados. Algunos estudios se requiere hacer el pago al 100% para empezar a procesar.
DOCUMENTOS
DIMYGeN Laboratorio pone a disposición las:
- Descargar documento informativo de estudios y enfermedades.
- Descargar documento informativo sobre las pruebas de parternidad.
- Frecuencias alélicas 22 STRs de la población de Yucatán, México (2019)
(POPULATION FREQUENCIES OF THE YUCATAN PENINSULA, MEXICO)
ARTÍCULOS PUBLICADOS
PARTICIPACIÓN DIRECTA
- The most frequent autosomal STRs involved in exclusion of paternity cases in a population from southeast, Mexico / Los STR autosómicos más frecuentes involucrados en la exclusión de casos de paternidad en una población del sureste de México. Ver artículo
- Forensic statistical parameters of 22 autosomal STRs in Mestizos from the Peninsula of Yucatán, México / Parámetros estadísticos forenses de 22 STR autosómicos en mestizos de la península de Yucatán, México. Ver artículo
- Ancestral proportions based on 22 autosomal STRs of an admixed population (Mestizos) from the Península of Yucatán, México / Proporciones ancestrales basadas en 22 STR autosómicos de una población mezclada (Mestizos) de la Península de Yucatán, México. Ver artículo
- Genetic variation of FTO: rs1421085 T>C, rs8057044 G>A, rs9939609 T>A, and copy number (CNV) in Mexican Mayan school-aged children with obesity/overweight and with normal weight // Variación genética de FTO: rs1421085 T> C, rs8057044 G> A, rs9939609 T> A, y número de copia (CNV) en niños mexicanos mayas en edad escolar con obesidad / sobrepeso y con peso normal. Ver artículo
- Determinación de mutaciones (del E746-A750 exón 19 y L858R exón 21) en el gen receptor del factor de crecimiento epidérmico (EGFR) en muestras de suero y biopsia de carcinoma pulmonar no microcítico (CPNM). Ver artículo
- Infección con Toxoplasma gondii (Eucoccidiorida, Sarcocystidae) en murciélagos de Campeche y Yucatán, México. Ver artículo
- Variaciones patogénicas y no patogénicas de genes PAX9 y MSX1 en pacientes yucatecos con agenesia dental. Ver artículo
ARTÍCULOS - SERVICIO A PROYECTOS
-
Detección molecular de leptospiras patógenas en roedores sinantrópicos y silvestres capturados en Yucatán, México. Ver artículo
-
Molecular detection of rickettsial tick-borne agents in white-tailed deer (Odocoileus virginianus yucatanensis), mazama deer (Mazama temama), and the ticks they host in Yucatan, Mexico. //Detección molecular de agentes transmitidos por garrapatas rickettsiales en ciervos de cola blanca (Odocoileus virginianus yucatanensis), ciervos mazama (Mazama temama) y las garrapatas que alojan en Yucatán, México. Ver artículo
- Molecular identification of Toxoplasma gondii in roadkill wild animals in Yucatan, Mexico. // Identificación molecular de Toxoplasma gondii en animales salvajes de roadkill en Yucatán, México. Ver artículo
- Ticks infesting dogs in rural communities of Yucatan, Mexico and molecular diagnosis of rickettsial infection. // Garrapatas que infestan perros en comunidades rurales de Yucatán, México y diagnóstico molecular de infección por rickettsia. Ver artículo
IMAGENES DURANTE EL CURSO - TALLER: BIOESTADISTICA APLICADA A LA GENÉTICA FORENSE
IMPARTIDO DEL 24 AL 26 DE JULIO DEL 2018





